VETERINÁRNÍ KLINIKA U NÁDRAŽÍ

ČESKÁ TŘEBOVÁ

 Pondělí  8.00 - 11.00   14.00 - 18.00
 Úterý  8.00 - 11.00   14.00 - 18.00
 Středa  8.00 - 11.00   14.00 - 18.00
 Čtvrtek  8.00 - 11.00   14.00 - 18.00
 Pátek  8.00 - 11.00   14.00 - 18.00
 Sobota  9.00 - 12.00

Plazi



Retence vajec, neboli zadržená snůška

Majitelka se na kliniku dostavila s Jůlinkou proto, že 14 dní nepřijímala potravu ani nepila. Majitelka se jí proto snažila vodu alespoň kapat do pusy. Jůlinka již dvakrát kladla vajíčka, naposled před 7 měsíci. Tentokrát se jim už její stav nelíbil, protože se už nemohla ani hýbat.

1

Jůlinka již při klinickém vyšetření nesla známky ztráty svalové hmoty za současného hroznovitého vyboulení celého těla. Předběžně bylo vysloveno podezření, že se nejedná o zadržení folikulů, ale o zadržení vajíček.,

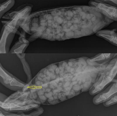
2

Náš předpoklad jsme potvrdili pomocí rentgenových snímků. Tenká slupička těla byla vyplněna vajíčky (vzájemně se překrývající bílé oválky). Dále byla zjištěna zlomenina kosti pažní (žlutá šipka), způsobena odvápněním kostry. Všechen vápník totiž dávala samička do tvořících se vajíček.

3

Takto přeplněná a zesláblá samička neměla šanci vajíčka vyklást. Proto bylo přistoupeno k operaci. Již po protnutí stěny břišní byly hned vidět vajíčka

4

Operační ránou byl vybaven jeden a druhý vejcovod a po podvázání všech cév byly odstraněny.

5

Po odstranění vejcovodů s vajíčky se musí do operační rány vybavit postupně oba vaječníky.

6

Na detailním záběru je zelenou šipkou znázorněna velká hřbetní céva, která je spojena miniaturními cévními spojkami s vaječníkem (útvar chycený do kovového peanku). Tyto spojky jsou kratší než 2 mm, přesto je potřeba každou z nich dvakrát podvázat a následně přerušit tak, aby nezůstala ani jedna zárodečná buňka vaječníku a současně aby nedošlo k poškození velké cévy a následnému nekontrolovanému krvácení.

7

Tvorba vajíček připravila samičku o spoustu vitamínů, energie a minerálů. Také jí vajíčka utiskovala vzdušné vaky a celkově vysilovala. Po čtrnáctidenním nepřijímání potravy a úbytku svalové hmoty by byla jakákoli aplikace vápníku a oxytocinu zbytečná.

8

Hmotnost vajíček byla o 50% vyšší než hmotnost chameleonky.

9

Po vyoperování vajec zbyla z Jůlinky jen tenká slupička, vážící pouhých 77 gramů, což je mnohem méně, než vážila vajíčka.

10

Jůlinka po měsíci funguje naprosto bez problémů, její tělíčko zesílilo a je v dobré kondici.