VETERINÁRNÍ KLINIKA U NÁDRAŽÍ

ČESKÁ TŘEBOVÁ

 Pondělí  8.00 - 11.00   14.00 - 18.00
 Úterý  8.00 - 11.00   14.00 - 18.00
 Středa  8.00 - 11.00   14.00 - 18.00
 Čtvrtek  8.00 - 11.00   14.00 - 18.00
 Pátek  8.00 - 11.00   14.00 - 18.00
 Sobota  9.00 - 12.00

Plazi



Syndrom gumové čelisti plazů

Podstatou onemocnění je nedostatek vápníku v kostech. Příčin tohoto stavu může být celá řada, nejčastěji dochází ke kombinaci více faktorů. Hlavními příčinami tohoto metabolického syndromu jsou špatné složení potravy (např. nadbytek fosforu), nedostatek vitamínu D, nedostatek UVB záření a velká spotřeba vápníku a vitamínů (např. při retenci folikulů - viz http://www.vet-ct.cz/operace-12_Odstraneni_neovulovanych_folikulu_leguana.html .

Nemoc byla pojmenována "Gumová tlama", protože nejvíce patrné změny jsou na čelistech. Můžeme pozorovat nápadné otoky, změknutí čelistí a jejich následné deformace- osteodystrofie. V závislosti na těchto postiženích pak velmi často dochází k problémům až neschopnosti příjmu potravy.
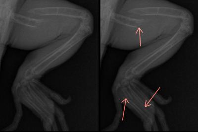
Pacient na fotkách je Charlienka - samička leguána. V jejím případě bylo hlavní příčinou onemocnění zadržení folikulů. Zárodky vajíček, které se nepřemění na vajíčka a stále jen rostou a rostou odebírají tělu enormní množství živin a minerálů, včetně vápníku a vitamínu D. Druhým faktorem byl nedostatečný zdroj UVB záření, umístěný příliš vysoko (většina komerčně prodávaných UVB zářivek by měla být maximálně 20 cm vysoko). RTG vyšetření odhalilo fraktury (zlomeniny zaprstních kůstek a kosti stehenní ukazují růžové šipky).

Leguánka Charlie však bojovala statečně. Po chirurgickém řešení retence folikulů a klidovém režimu kvůli zpevnění a srůstání kostí se vrátila s plným nasazením do svého běžného života.
Princip této poruchy by se dal zjednodušit takto: když je v krvi málo vápníku, tělo jej začne brát z kostí, čímž kosti měknou a dochází ke zlomeninám. Podrobnější popis působení odhalí roli příštítných tělísek, žláz s vnitřní sekrecí, které v případě poklesu vápníkových iontů v krvi produkují zvýšené množství parathormonu, který uvolňuje vápník vázaný v kostech a vyplavuje ho do krve. Kosti pak ztrácejí své vlastnosti- především pevnost a tvar.
Léčba tohoto onemocnění bývá náročná a zdlouhavá. Prvním krokem je odstranění příčiny (v případě Charlienky provedení kastrace a pořízení kvalitního UVB zářiče).
Prognóza tohoto onemocnění je dubiózní (neurčitá), protože čelisti někdy zůstávají po prodělaném onemocnění těžce deformované a brání leguánovi v příjmu potravy. 

Po vymizení otoků nakonec nedošlo k výrazným deformacím čelistí a Charlienka přijímá potravu bez problémů.